3
スメア層を取った方がいいの?
壁に貼り付いた削りカス、スメア層を取ると、
その中には細菌も入っているし、
後の根管充填、詰め物が歯にピッタリとします。
細菌が入っているだけでなく、
細菌の栄養源にもなっちゃうからです。
細菌が入っているし、栄養源にもなる。
薬が中へ届かない。
根管充填がくっ付きにくい。
ピッタリとフタが出来ない。
どうやって取るの?
EDTAが有効です。
弱い酸で、削りカスの金属をくっ付いて、スメア層をはがしてくれます。
EDTAは最後から2番目に使って、その後に次亜塩素酸ナトリウムで洗って、その酸を打ち消します。
この治療の予後、長持ちしそうか?
患者さんにアドバイスすることは?
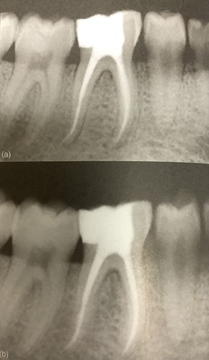
全部の神経が見つかり、複雑な根管を理想的な長さで適切に削って、消毒し、詰められたので
この根管治療の予後は素晴らしいでしょう。

根管治療後の1〜2週間は不快感があるかもしれません。
ちゃんと治ったのか、1年後に診査とレントゲン検査をしましょう。
長持ちさせるには、歯がしっかりとしていること、無理な力をかけないこと、硬いものや歯ぎしりをさけるように。
考察
根管治療の目的は根っ子の病気を予防、治すことです。
複雑な根管を消毒するには、洗浄が大切です。
根管治療の成功には徹底的な消毒にかかっています。
神経の管、根管には器具が届かない所、隣同士とつながったハリ、イスムス、脇道、側枝、枝別れた分枝などがあるのです。
病気がある歯の根管治療の成功率は85%です。
根っ子に病気がない歯では、95%。
統計的には、このような歯の5〜10年間持つ可能性は80〜90%です。
高いって思いますか?
それだけって思いますか?
失敗となった1本に含まれたなら、その方にとっては100%失敗と感じられるので難しいですね。
スメア層を取った方がいいの?
壁に貼り付いた削りカス、スメア層を取ると、その中には細菌も入っているし、
後の根管充填、詰め物が歯にピッタリとします。
細菌が入っているだけでなく、
細菌の栄養源にもなっちゃうからです。
細菌が入っているし、栄養源にもなる。
薬が中へ届かない。
根管充填がくっ付きにくい。
ピッタリとフタが出来ない。
どうやって取るの?
EDTAが有効です。
弱い酸で、削りカスの金属をくっ付いて、スメア層をはがしてくれます。
EDTAは最後から2番目に使って、その後に次亜塩素酸ナトリウムで洗って、その酸を打ち消します。
この治療の予後、長持ちしそうか?
患者さんにアドバイスすることは?
全部の神経が見つかり、複雑な根管を理想的な長さで適切に削って、消毒し、詰められたので
この根管治療の予後は素晴らしいでしょう。

根管治療後の1〜2週間は不快感があるかもしれません。
ちゃんと治ったのか、1年後に診査とレントゲン検査をしましょう。
長持ちさせるには、歯がしっかりとしていること、無理な力をかけないこと、硬いものや歯ぎしりをさけるように。
考察
根管治療の目的は根っ子の病気を予防、治すことです。
複雑な根管を消毒するには、洗浄が大切です。
根管治療の成功には徹底的な消毒にかかっています。
神経の管、根管には器具が届かない所、隣同士とつながったハリ、イスムス、脇道、側枝、枝別れた分枝などがあるのです。
病気がある歯の根管治療の成功率は85%です。
根っ子に病気がない歯では、95%。
統計的には、このような歯の5〜10年間持つ可能性は80〜90%です。
高いって思いますか?
それだけって思いますか?
失敗となった1本に含まれたなら、その方にとっては100%失敗と感じられるので難しいですね。