IMG_0377 















診断と治療計画

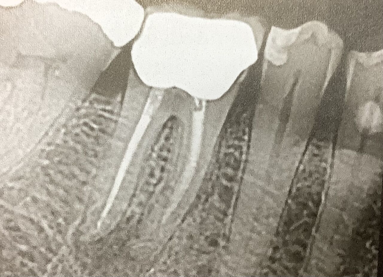
この歯の診断は?

右下6番、根管治療をされた歯で、症状の有る根尖性歯周炎で垂直歯根破折を伴うもの。
前に根管治療を受けていて、痛みが有って、根っ子の先の炎症性病変で、しかも根っ子の方から縦にヒビが入っている。

垂直歯根破折でよくみる症状とレントゲン像

症状
⚪︎根っ子の病気の症状(押したり、触れると痛い、腫れてるなど)
⚪︎咬むと痛い
⚪︎ヒビが見える
⚪︎深く、そのだけに、細い歯周ポケットがある(反対側にもある事も)
⚪︎瘻孔、膿の出口のニキビみたいなの(いくつも有ったり)
⚪︎グラグラする

レントゲン
様々ですが、このうちのどれかが見つかる。
⚪︎わずかに根っこに、あるいは上に方の骨の吸収、溶けてる。
⚪︎根っ子の横側、根っこに沿ってワキ側の歯根膜の黒いスジが広がっている。
⚪︎J型あるいは後光がさす、取り囲むような骨のカゲが有る。
分岐部、根っ子の分かれ目、マタにまで広がってるのが多い。
⚪︎根っ子がバラバラに見えることも。