
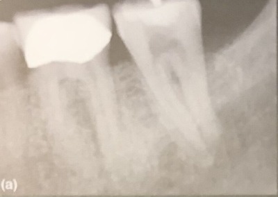
この歯の治療法は?
⚪︎何もしない
⚪︎根管治療して被せる
⚪︎抜いちゃう
治療計画
根管治療して、冠で被せることになりました。
麻酔してラバーダムをかけまして、
仮フタを取って、神経への入り口を開けます。
遠心根管、後ろ、奥側の神経の管の奥側に沿ってヒビが入ってました。
顕微鏡で見ると、
入り口から2ミリ程下にまでヒビが続いていて、根管内を削りました。
根管充填、根管内を詰めた後、
ヒビまで薬を取って、接着性のレジン強化型グラスアイオノマーセメントで内側から接着しました。
かみ合わせを低くしておいて、この歯で咬まないようにと。
出来るだけ早く元のかかりつけ歯科医へ戻って、被せるようにと伝えました。
で、定期的に検診をしていきます。

下は8年後にCBCTで確認されたそうです。
流石の治り具合です。