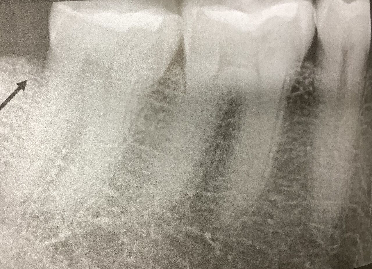
根っこにまで進んだヒビ、クラック
レントゲンの特徴
歯の上から入るヒビ、クラックはよく近遠心に入る。
前から後ろ方向にです。
で、レントゲンの撮影方向と平行なので、普通のレントゲンでは写りにくいです。
で、骨の溶け方から想像します。
ヒビに沿って、骨が痩せて見えます。
こんな感じに。
しかしこんな像は親知らずを抜いた跡だったり、歯周病でも起こります。
また二次元の画像では他のものが重なって、
見えなくなったりもします。
残念ながらCBCTであっても、
その解像ボクセルよりも狭いヒビでは写ってきません。
でも骨の減り具合からヒビの可能性やその深さを予想できます。
典型的なクラックでは狭くて、そこだけに現局したカゲが根っこに沿って見られます。

こんな風に。
CBCTでは他のものの重なりを避けられます。
様々な方向から向きを変えて見られます。
根っ子のカゲは神経への病気の進み具合によって、あったりなかったりします。
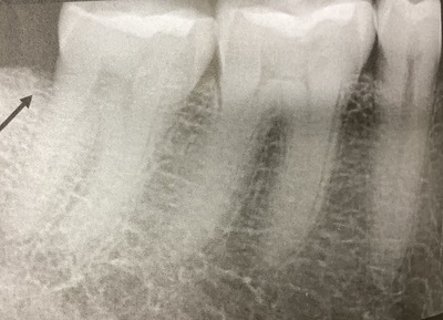
レントゲンの特徴
歯の上から入るヒビ、クラックはよく近遠心に入る。
前から後ろ方向にです。
で、レントゲンの撮影方向と平行なので、普通のレントゲンでは写りにくいです。
で、骨の溶け方から想像します。
ヒビに沿って、骨が痩せて見えます。
こんな感じに。しかしこんな像は親知らずを抜いた跡だったり、歯周病でも起こります。
また二次元の画像では他のものが重なって、
見えなくなったりもします。
残念ながらCBCTであっても、
その解像ボクセルよりも狭いヒビでは写ってきません。
でも骨の減り具合からヒビの可能性やその深さを予想できます。
典型的なクラックでは狭くて、そこだけに現局したカゲが根っこに沿って見られます。

こんな風に。
CBCTでは他のものの重なりを避けられます。
様々な方向から向きを変えて見られます。
根っ子のカゲは神経への病気の進み具合によって、あったりなかったりします。