もし歯科医がこれらを知らなければ、
穿孔、穴を開けてしまうでしょう。
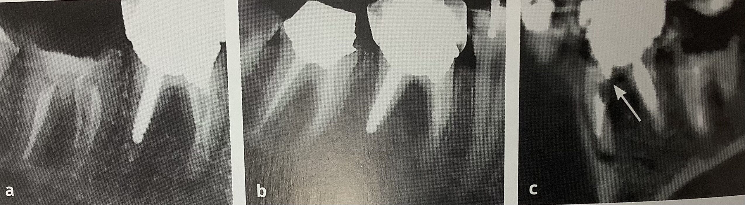
左と真ん中がいつものレントゲンで、
右がCTです。
被せ物の根っこの分かれ目,
ウチマタ部分が真っ黒です。
CTで見ると穴が開いてます。
ここはくぼんでいて、薄いので危険なんです。
虫歯と前の治療を全部外した後に、
残っている歯が少なくてラバーダムが難しい時があります。
そのままでは、汚れが入って来ちゃうし、器具や薬液を飲み込ませたりしたら大変です。
ので仮に詰めたり、被せたりが必要です。
既成のポスト、ネジ式のピンが根っこに入っている時には、より気をつけなければなりません。
ほとんどの被せ物は削り取れるんですが、深い所では超音波が有効です。
上が治療前
顕微鏡で覗いた神経の入り口部分です。
オレンジ色のが古いガッタパーチャ、クスリです。
左でキラキラ光って見えてるのが、
残ったポストの金属です。
右下がその治療後です。
同じ2本の神経でも、
別々に分かれているのと、
V字に出口でくっ付いてるのですね。
穿孔、穴を開けてしまうでしょう。
左と真ん中がいつものレントゲンで、右がCTです。
被せ物の根っこの分かれ目,
ウチマタ部分が真っ黒です。
CTで見ると穴が開いてます。
ここはくぼんでいて、薄いので危険なんです。
虫歯と前の治療を全部外した後に、
残っている歯が少なくてラバーダムが難しい時があります。
そのままでは、汚れが入って来ちゃうし、器具や薬液を飲み込ませたりしたら大変です。
ので仮に詰めたり、被せたりが必要です。
既成のポスト、ネジ式のピンが根っこに入っている時には、より気をつけなければなりません。
ほとんどの被せ物は削り取れるんですが、深い所では超音波が有効です。
上が治療前顕微鏡で覗いた神経の入り口部分です。
オレンジ色のが古いガッタパーチャ、クスリです。
左でキラキラ光って見えてるのが、
残ったポストの金属です。
右下がその治療後です。
同じ2本の神経でも、
別々に分かれているのと、
V字に出口でくっ付いてるのですね。