被せる治療が長持ちしそうか?計画をする際には、
根管治療は?歯周病はどう?その上で被せるにはどうか?と考える必要があります。
根管治療が上手くいきそうか?技術的に難しい点は?を調べるには、
レントゲンをよ〜く見るのが欠かせません。
虫歯の大きさと残っている歯は?どうなのか?
バイトウイング、咬翼法、上下の奥歯を咬んだ状態で真横から撮る方法です。
この方法が残っている歯を状態を見るには、一番です。
神経の部屋、歯髄腔の状態、
歯を被せられる?に大切な歯頚部、歯の頭と根っこの継ぎ目、ウエスト部分の状態、
虫歯がどこまで進んでいるのか?
特に根っこにまで進んでいるのか?骨の近くや根っこの分かれ目に近いのか?を見る時にです。
歯はウエスト部分の下が細くなっているので、
たった1ミリ、根の下へ虫歯が進んだだけで、急激に歯の厚みが薄くなってしまいます。
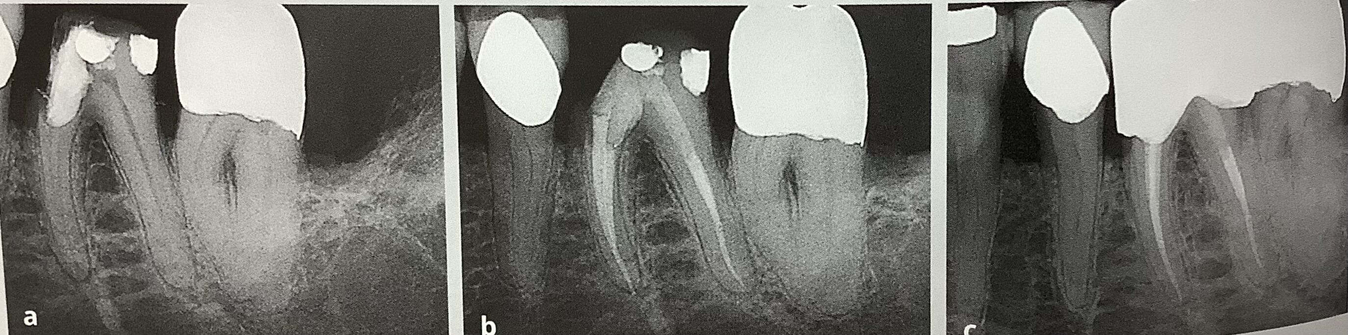
真ん中のが、バイトウイング法です。
根元部分や神経の頭の部屋などが、よく分かります。
歯の間の虫歯を調べるには、1番です。
左のレントゲンでは、黒い虫歯が大きくて残せないかも?
でも真ん中から、まだ骨や分岐部、根っこの分かれ目まで進んでいないと分かります。
なので根管治療をして残す事ができました。

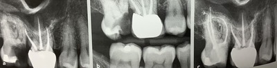
左の歯、6番、第一大臼歯の根管治療をして欲しいと紹介された方。
根っこがV字、二股に分かれていますが、右の奥側の根っこには歯が充分に残ってます。
が、手前は下の骨近くまで虫歯が進んでいます。
白いセメント?みたいな詰め物がされてますが、深くて左右に根っこがバラバラになりそうです。
で、被せられましたが、長持ちするのかは?疑問です。
歯周病の検査、ポケットの深さや歯ぐきの状態を調べるのも必要です。
深い歯周ポケットがそこだけにある時には、歯周病からなのか?根っこのさきからの膿の出口?ヒビが原因かも?を診断しなくてなりません。
被せらそうなのか?には、多くのことを調べないとわかりません。
ヒビが入っていないか?
症状は?
色素、メチレンブルーでヒビが染まらないか?
強い光を当ててみて、ヒビが見えないか?
咬む所の一部分、ある山に力をかけてみて、痛んだり開いたりしないか?
レントゲン検査では?典型的なカゲが無いか?
そして残った歯の厚みや高さが被せるのに十分なのかどうかは、虫歯を全部取り除いてみないと分かりません。
根管治療は?歯周病はどう?その上で被せるにはどうか?と考える必要があります。
根管治療が上手くいきそうか?技術的に難しい点は?を調べるには、
レントゲンをよ〜く見るのが欠かせません。
虫歯の大きさと残っている歯は?どうなのか?
バイトウイング、咬翼法、上下の奥歯を咬んだ状態で真横から撮る方法です。
この方法が残っている歯を状態を見るには、一番です。
神経の部屋、歯髄腔の状態、
歯を被せられる?に大切な歯頚部、歯の頭と根っこの継ぎ目、ウエスト部分の状態、
虫歯がどこまで進んでいるのか?
特に根っこにまで進んでいるのか?骨の近くや根っこの分かれ目に近いのか?を見る時にです。
歯はウエスト部分の下が細くなっているので、
たった1ミリ、根の下へ虫歯が進んだだけで、急激に歯の厚みが薄くなってしまいます。
真ん中のが、バイトウイング法です。根元部分や神経の頭の部屋などが、よく分かります。
歯の間の虫歯を調べるには、1番です。
左のレントゲンでは、黒い虫歯が大きくて残せないかも?
でも真ん中から、まだ骨や分岐部、根っこの分かれ目まで進んでいないと分かります。
なので根管治療をして残す事ができました。

左の歯、6番、第一大臼歯の根管治療をして欲しいと紹介された方。
根っこがV字、二股に分かれていますが、右の奥側の根っこには歯が充分に残ってます。
が、手前は下の骨近くまで虫歯が進んでいます。
白いセメント?みたいな詰め物がされてますが、深くて左右に根っこがバラバラになりそうです。
で、被せられましたが、長持ちするのかは?疑問です。
歯周病の検査、ポケットの深さや歯ぐきの状態を調べるのも必要です。
深い歯周ポケットがそこだけにある時には、歯周病からなのか?根っこのさきからの膿の出口?ヒビが原因かも?を診断しなくてなりません。
被せらそうなのか?には、多くのことを調べないとわかりません。
ヒビが入っていないか?
症状は?
色素、メチレンブルーでヒビが染まらないか?
強い光を当ててみて、ヒビが見えないか?
咬む所の一部分、ある山に力をかけてみて、痛んだり開いたりしないか?
レントゲン検査では?典型的なカゲが無いか?
そして残った歯の厚みや高さが被せるのに十分なのかどうかは、虫歯を全部取り除いてみないと分かりません。