根管形成、削るって事
酷い根管充填の多くは酷い根管形成、削り方が悪いのが原因です。
上手に削ってあれば、詰めるのは簡単。
削る時に起こすトラブル、異物、あるはずない物、削りカスが詰まったり、器具が折れてたり
なんて邪魔もの、障害物が原因で詰められないんです。
例えばアマルガム、昔の銀の詰め物を取り除く時にうっかりすると、
根管内に、神経の管の中に金属片が入り込んでそこから先に進めなくなったり。
失敗はデリケートな根管を丁寧に削らない、器具を使わないから起こるんです。
この丁寧って言葉が、政治家の先生方がやたら使うんで嫌いなんですが。
慎重にって事です。
複雑な形をした根管を不注意に扱うと、
レッジ、段差がついて進まなくなるし、違う方向へ進んで戻れなくなったり、穴を開けちゃったり、器具が折れてしまったり、、、、。
賢い歯科医は先ずは細いファイル、器具で道を探って、先っぽまでの通り道を作ります。
太い器具を突っ込む前に、複雑な形、向き、太さなどを知るためです
壊しちゃう失敗
根管治療の際に、壊してしまう失敗が沢山報告されています。
術前の質の高いレントゲンによる診断が、治療の成功には必須です。
難しそうな複雑な歯であれば、優れた歯科医であればCTの必要性を考えるでしょう。
不必要な、取り返しのつかない、悪い影響を与えてしまう治療、
太い神経や副鼻腔に侵襲を与えるような治療は絶対に避けなくてはなりません。

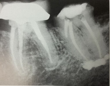
白い材料が
直ぐ下にあるアゴの神経の管近くにまで、
はみ出ています。
酷い根管充填の多くは酷い根管形成、削り方が悪いのが原因です。
上手に削ってあれば、詰めるのは簡単。
削る時に起こすトラブル、異物、あるはずない物、削りカスが詰まったり、器具が折れてたり
なんて邪魔もの、障害物が原因で詰められないんです。
例えばアマルガム、昔の銀の詰め物を取り除く時にうっかりすると、
根管内に、神経の管の中に金属片が入り込んでそこから先に進めなくなったり。
失敗はデリケートな根管を丁寧に削らない、器具を使わないから起こるんです。
この丁寧って言葉が、政治家の先生方がやたら使うんで嫌いなんですが。
慎重にって事です。
複雑な形をした根管を不注意に扱うと、
レッジ、段差がついて進まなくなるし、違う方向へ進んで戻れなくなったり、穴を開けちゃったり、器具が折れてしまったり、、、、。
賢い歯科医は先ずは細いファイル、器具で道を探って、先っぽまでの通り道を作ります。
太い器具を突っ込む前に、複雑な形、向き、太さなどを知るためです
壊しちゃう失敗
根管治療の際に、壊してしまう失敗が沢山報告されています。
術前の質の高いレントゲンによる診断が、治療の成功には必須です。
難しそうな複雑な歯であれば、優れた歯科医であればCTの必要性を考えるでしょう。
不必要な、取り返しのつかない、悪い影響を与えてしまう治療、
太い神経や副鼻腔に侵襲を与えるような治療は絶対に避けなくてはなりません。

白い材料が
直ぐ下にあるアゴの神経の管近くにまで、
はみ出ています。