根管治療の際に周りに火傷を起こす場合があります。
根管に熱を加える器具や超音波のチップでです。
骨にとっては、47℃で障害が起こります。
例えばポスト、金属の心棒、ピンを外そうとして
長時間、超音波チップを使うとです。
骨が死んでしまい、歯ぐきに重大な害を生じます。
その他にシステムBって機械で洗浄液を熱する時にも起こり得ます。
でも、このトラブルは今までに報告されてません。
根管治療による火傷はまず起こりませんが、
万が一起こった時には重大な問題となります。

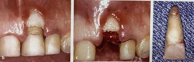
左の前歯の中に入っていた金属ピンを外そうとされたそうです。
痛いかもと思われたんでしょう、
麻酔をして行われたので患者さんも気づかずに
火傷をされてしまいました。
歯ぐきの下に見えるのは、骨なんです。
骨と歯ぐきが死んで、下がってしまってますが、
それどころか、歯も抜けてしまったそうです。
超音波の使い過ぎだったそうです。
根管に熱を加える器具や超音波のチップでです。
骨にとっては、47℃で障害が起こります。
例えばポスト、金属の心棒、ピンを外そうとして
長時間、超音波チップを使うとです。
骨が死んでしまい、歯ぐきに重大な害を生じます。
その他にシステムBって機械で洗浄液を熱する時にも起こり得ます。
でも、このトラブルは今までに報告されてません。
根管治療による火傷はまず起こりませんが、
万が一起こった時には重大な問題となります。

左の前歯の中に入っていた金属ピンを外そうとされたそうです。
痛いかもと思われたんでしょう、
麻酔をして行われたので患者さんも気づかずに
火傷をされてしまいました。
歯ぐきの下に見えるのは、骨なんです。
骨と歯ぐきが死んで、下がってしまってますが、
それどころか、歯も抜けてしまったそうです。
超音波の使い過ぎだったそうです。