⚫︎根っこの神経を探す時には、細い探針、針みたいなのを使いましょう。
ドリルで探ってはダメです。
色が違うのが大切なポイントになります。
神経と神経の間に暗い線がつながって見られます。
さっきの探針で突くと、吸い付く様な感じがあればそこです。
入り口が見つかれば、6,8,10番の細い器具で道を探していきます。
⚫︎そこまでできたら、入り口部分を広げてなるべく真っ直ぐになるようにします。
曲がったままだと、段ができたり、変な方向に広がってしまったり、穴を開けてしまったりし易いです。
特に硬いステンレスの器具で起こりやすいです。
直線化しておくと、ニッケルチタンの器具が使いやすくなります。
ニッケルチタンの器具は柔らかいんですが、折れないようには直線化が必要です。

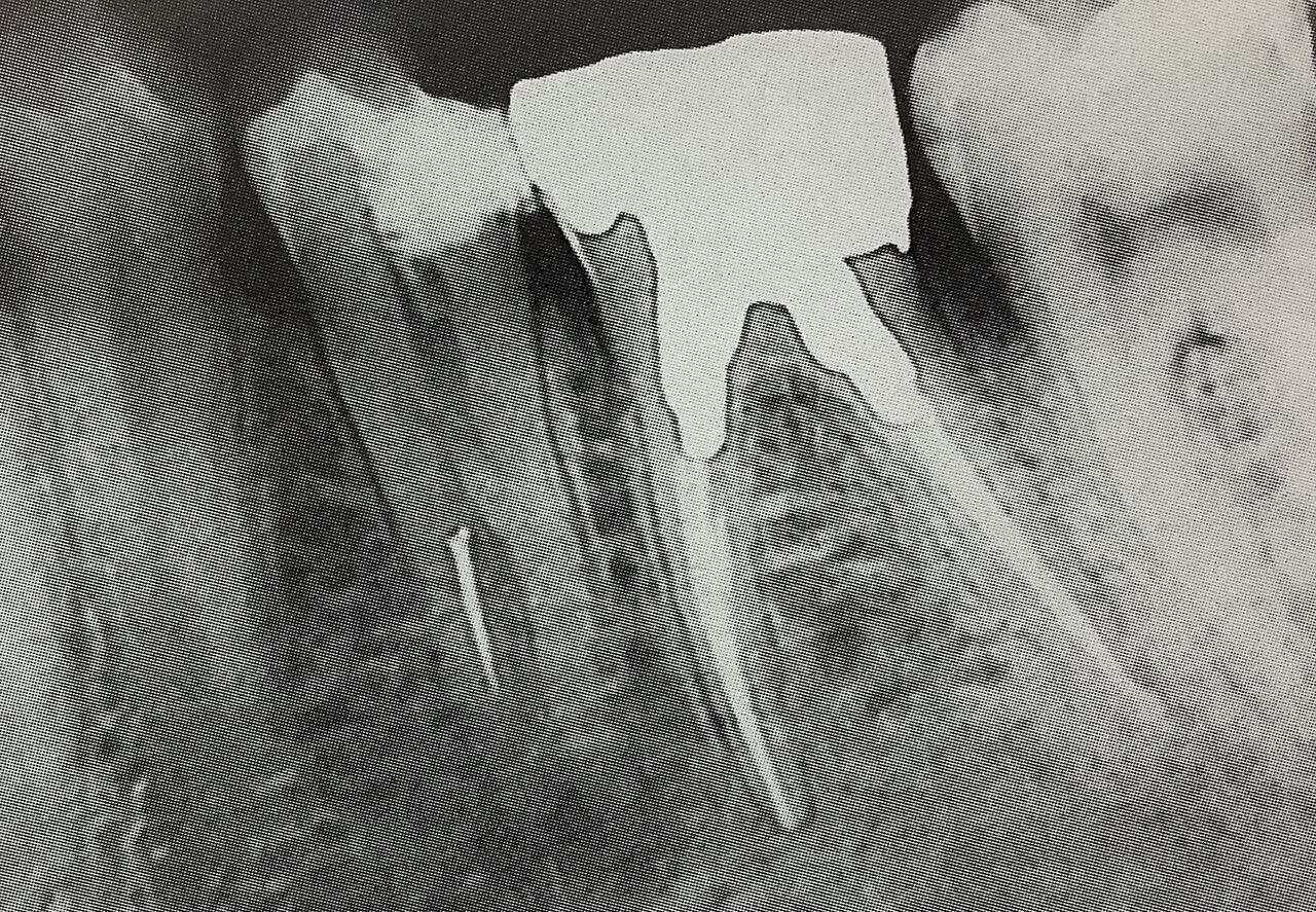
この歯は特に難しいですね。
細い根っこで途中から複数本に枝分かれしています。
中で白く見えるのが、折れちゃった器具です。
う〜ん、これまた難しいですね。
⚫︎入り口はその歯の難しさ、年齢、口の開き具合などによっても影響されます。
また広げてあげることで、消毒液も先の方まで届き易くなります。
ドリルで探ってはダメです。
色が違うのが大切なポイントになります。
神経と神経の間に暗い線がつながって見られます。
さっきの探針で突くと、吸い付く様な感じがあればそこです。
入り口が見つかれば、6,8,10番の細い器具で道を探していきます。
⚫︎そこまでできたら、入り口部分を広げてなるべく真っ直ぐになるようにします。
曲がったままだと、段ができたり、変な方向に広がってしまったり、穴を開けてしまったりし易いです。
特に硬いステンレスの器具で起こりやすいです。
直線化しておくと、ニッケルチタンの器具が使いやすくなります。
ニッケルチタンの器具は柔らかいんですが、折れないようには直線化が必要です。

この歯は特に難しいですね。
細い根っこで途中から複数本に枝分かれしています。
中で白く見えるのが、折れちゃった器具です。
う〜ん、これまた難しいですね。
⚫︎入り口はその歯の難しさ、年齢、口の開き具合などによっても影響されます。
また広げてあげることで、消毒液も先の方まで届き易くなります。