鼻、皆さんの思う柔らかい鼻
日本人はどうだろう?
鼻が前歯のレントゲンに重なって見えています。
矢印です。
お肉なんで、薄いフィルターみたいな感じ。
歯のヒビを見つける時は、注意ですよね。
上顎洞
何回か出てきてますが、
上のアゴ、ホホあたりにある空洞、穴で、鼻とつながっていて副鼻腔って言います。
蓄膿症で膿みを持ったりする所です。
ホホの骨を取っちゃうと、こんな穴が見えてきます。
この黒い所。
上の奥歯の上にあって、空気が入っているので黒っぽく見えます。
レントゲンで白くハッキリとした境目、フチに囲まれて見えます。
で、その中にハリがあって分かれています。
大きさも様々で、歯の根っこの間や下の方まで広がっている時もあります。
奥歯を抜くと、この空洞が大きくなって下まで広がることが多いんです。
歯と近いので、お互いに影響し合う重要な場所です。

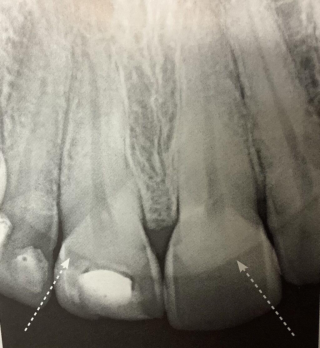
日本人はどうだろう?
鼻が前歯のレントゲンに重なって見えています。
矢印です。お肉なんで、薄いフィルターみたいな感じ。
歯のヒビを見つける時は、注意ですよね。
上顎洞
何回か出てきてますが、
上のアゴ、ホホあたりにある空洞、穴で、鼻とつながっていて副鼻腔って言います。
蓄膿症で膿みを持ったりする所です。
ホホの骨を取っちゃうと、こんな穴が見えてきます。
この黒い所。
上の奥歯の上にあって、空気が入っているので黒っぽく見えます。
レントゲンで白くハッキリとした境目、フチに囲まれて見えます。
で、その中にハリがあって分かれています。
大きさも様々で、歯の根っこの間や下の方まで広がっている時もあります。
奥歯を抜くと、この空洞が大きくなって下まで広がることが多いんです。
歯と近いので、お互いに影響し合う重要な場所です。
