2年前に詰めた歯の神経が死んでいた。の、続きの続き。
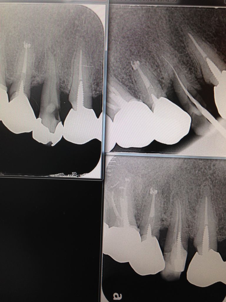
神経が死んでいるのか、
冷たい物や熱い物、電気で刺激して
痛みがおこるかを確認します。
でも、奥歯のように複数の神経がある歯では、
ある神経は生きているけど
他の神経は死んでいることが多いです。
そうすると神経が死んでいる?のに、痛い。
あるいは恐がりの患者さんは、電気をあてると聞いただけで
もう痛がります。
やる前から。
患者さんの判断なので、感じ方に違いがあります。
痛みではなくて、血流が健康には大切 なんですが一般的には分かりません。

下が根の先で、真ん中にある青く見えるのが神経。
右下の赤いのは骨。
歯の根の先には、歯根膜という薄い靱帯 と骨があります。
左下は骨でなくて、青く見える炎症性の細胞が沢山集まっています。
青い点々です。
骨でなくて、柔らかなお肉なので
レントゲンで黒く見えます。
ここが根の病気の場所。
骨🦴は細菌とは戦えないので、炎症性の細胞が代わって戦っているんです。
でも神経の中にも青く見える細胞が集まっていますよね?
て、ことは生きてます。
根の先に病気があるけど、神経はまだ生きてます。
健康ではないけど。
だから、麻酔をしないと痛いんです。
神経が死んでいるのか、
冷たい物や熱い物、電気で刺激して
痛みがおこるかを確認します。
でも、奥歯のように複数の神経がある歯では、
ある神経は生きているけど
他の神経は死んでいることが多いです。
そうすると神経が死んでいる?のに、痛い。
あるいは恐がりの患者さんは、電気をあてると聞いただけで
もう痛がります。
やる前から。
患者さんの判断なので、感じ方に違いがあります。
痛みではなくて、血流が健康には大切 なんですが一般的には分かりません。

下が根の先で、真ん中にある青く見えるのが神経。
右下の赤いのは骨。
歯の根の先には、歯根膜という薄い靱帯 と骨があります。
左下は骨でなくて、青く見える炎症性の細胞が沢山集まっています。
青い点々です。
骨でなくて、柔らかなお肉なので
レントゲンで黒く見えます。
ここが根の病気の場所。
骨🦴は細菌とは戦えないので、炎症性の細胞が代わって戦っているんです。
でも神経の中にも青く見える細胞が集まっていますよね?
て、ことは生きてます。
根の先に病気があるけど、神経はまだ生きてます。
健康ではないけど。
だから、麻酔をしないと痛いんです。














