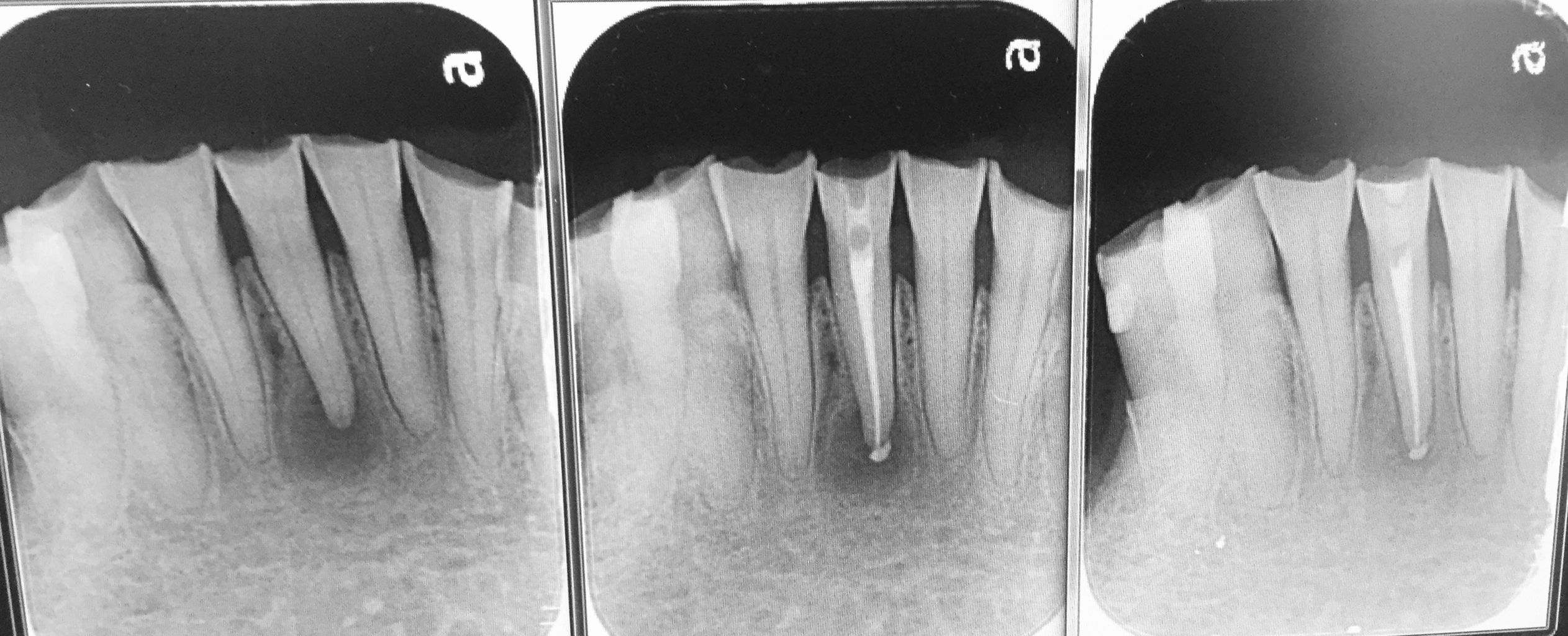
外科的歯内療法以外の治療方法は?
従来の根管治療で治らなくて、外科をする場合が多いんですが
そうじゃなくて被せ物を外すのがおしい?なんて理由であれば、
普通に上からの再治療を行うのもあり得ます。
しかし何かしら見逃した根管があるとか?原因が無いのに、
自分でベストを尽くした治療の再治療は あり得ません。
同じ事を繰り返さずに、他の方法を行うべきです。
抜いてしまう。
抜歯は最も予後が明確にです。
抜いてしまえば、根尖病変は確実に治ります。
が、何かを入れないとなりません。
そのまま放っておく?
腫れや痛みを薬で散らし、楽になったからこのままで良いです。
って方もおられます。
その改善は一時的で、治ってはいません。
悪くなってから治療するのは、さらに難しくなるかもしれません。
大事な旅行前に腫れるかも?なんて脅してもいけませんでした。
失礼しました。
従来の根管治療で治らなくて、外科をする場合が多いんですが
そうじゃなくて被せ物を外すのがおしい?なんて理由であれば、
普通に上からの再治療を行うのもあり得ます。
しかし何かしら見逃した根管があるとか?原因が無いのに、
自分でベストを尽くした治療の再治療は あり得ません。
同じ事を繰り返さずに、他の方法を行うべきです。
抜いてしまう。
抜歯は最も予後が明確にです。
抜いてしまえば、根尖病変は確実に治ります。
が、何かを入れないとなりません。
そのまま放っておく?
腫れや痛みを薬で散らし、楽になったからこのままで良いです。
って方もおられます。
その改善は一時的で、治ってはいません。
悪くなってから治療するのは、さらに難しくなるかもしれません。
大事な旅行前に腫れるかも?なんて脅してもいけませんでした。
失礼しました。








