用語の説明の続きです。
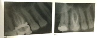
神経を取るには頭の部分、歯冠部に穴を開けて通り道を作ることから始めます。
アクセスキャビティって言います。
学生時代の教科書?未だに日本の本では、削り易いように真っ直ぐに手前から器具が入る様に削りましょう。
って書いてあります。
直線化。
そうすると歯頸部、歯の頭と根っこの境目、ウエスト部分をたくさん削る事になり、歯が薄くなって破れやすくなってしまいます。
超弾性を持つニッケルチタン製のファイル がある現代では、過剰に歯を削るべきではありません。
右側が学生時代の教科書にある削り方。
でも左側は極端に小さくて、忍者みたいと表現されてます。
左側は凄いんですが、流石に取り残しや見逃しが多くなり、この中間がお勧めされます。
針が怖い方には、嫌な絵かもしれませんが神経を取る時に使うファイルです。
左側はニッケルチタンですが、手で持って使う物です。
右上は機械で回転して使う物です。
最後に日本が誇る電気的根管長測定器です。
日本ではEMRなんて言います。
根っこの先からファイルが出ると電気抵抗値が変わり、その位置を教えてくれます。
レントゲンでの根っこの先が根管の出口とは必ずしも一致しないため、最も信頼できます。
神経を取るには頭の部分、歯冠部に穴を開けて通り道を作ることから始めます。
アクセスキャビティって言います。
学生時代の教科書?未だに日本の本では、削り易いように真っ直ぐに手前から器具が入る様に削りましょう。
って書いてあります。
直線化。
そうすると歯頸部、歯の頭と根っこの境目、ウエスト部分をたくさん削る事になり、歯が薄くなって破れやすくなってしまいます。
超弾性を持つニッケルチタン製のファイル がある現代では、過剰に歯を削るべきではありません。
右側が学生時代の教科書にある削り方。
でも左側は極端に小さくて、忍者みたいと表現されてます。
左側は凄いんですが、流石に取り残しや見逃しが多くなり、この中間がお勧めされます。
針が怖い方には、嫌な絵かもしれませんが神経を取る時に使うファイルです。
左側はニッケルチタンですが、手で持って使う物です。
右上は機械で回転して使う物です。
最後に日本が誇る電気的根管長測定器です。
日本ではEMRなんて言います。
根っこの先からファイルが出ると電気抵抗値が変わり、その位置を教えてくれます。
レントゲンでの根っこの先が根管の出口とは必ずしも一致しないため、最も信頼できます。
歯の根っこの辺りを半分にして、顕微鏡で見た絵です。


